Mới nhất
-
SOUEAST returns to Dubai Fashion Week as official automotive partner, redefining aesthetics of mobility
-
CGTN: How China delivers resilient, robust and high-quality economic growth
-
Những người nổi tiếng trên mạng xã hội Thái Lan với hàng triệu người theo dõi đổ xô đến núi Emei để tận hưởng các dịch vụ văn hóa và du lịch tầm cỡ quốc tế, biến nơi đây thành một điểm thu hút khách du lịch lớn
-
Từ Trái phiếu Kho bạc Mỹ đến Hàng hóa Vật chất: BullNus cố gắng xây dựng một vòng khép kín kinh doanh RWA dựa trên "Thế giới Vật chất"
Liên kết thân thiện
- नमस्ते भारत
- Mạng ứng dụng thông minh
- Mạng giải trí việt nam
- Mạng giải trí việt nam
- Mạng lưới du lịch việt nam
- Báo công ty
- Tiếng nói của việt nam
- Việt nam hàng ngày
- Nhật Bản Nhân dân Việt Nam hàng
- Mạng công nghệ việt nam
- Việt Nam chuyển phát nhanh
- Truyền hình BIBI
- Báo kinh tế việt nam
- Nhật báo hàng ngày
- Nhật báo hàng ngày
Dụng cụ nha khoa rơi vào đường thở sau khi làm răng
2025-11-26
HaiPress
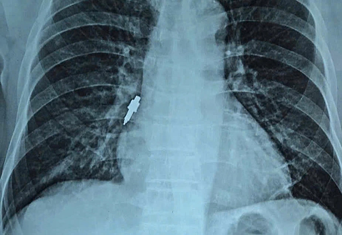
Ngày 26/11,đại diện viện cho biết nội soi gắp thành công dị vật nằm sâu trong phế quản phải của bệnh nhân. Dị vật là một dụng cụ nha khoa bằng inox,trơn nhẵn,dài 2,5 cm và có đường kính lớn nhất lên tới 1 cm.

Dị vật kim loại nằm sâu trong đường thở. Ảnh: Bệnh viện cung cấp
Trước đó,bệnh nhân đến viện khám do ho kéo dài,cơn ho ngày càng tăng nặng. Ông cho biết hai tuần trước đã làm thủ thuật đặt trụ răng giả (implant) tại một phòng khám tư nhân. Trong quá trình thực hiện,nha sĩ thông báo làm rơi một dụng cụ nhưng không xác định được vị trí. Khi về nhà,ông bắt đầu ho nhẹ rồi chuyển biến xấu dần.
Kíp nội soi đánh giá đây là ca khó do dị vật kích thước lớn,bề mặt trơn trượt và nằm kẹt sâu. Các bác sĩ phải thao tác thận trọng để tránh làm rách phế quản,gây chảy máu hoặc đẩy dị vật xuống sâu hơn. Sau khi lấy được dụng cụ ra ngoài,bác sĩ tiếp tục bơm rửa sạch mủ và cặn máu ứ đọng. Hiện sức khỏe bệnh nhân đã ổn định.
Bác sĩ Nguyễn Tiến Dũng,Trưởng khoa Hô hấp - Dị ứng,nhận định dị vật kim loại từ dụng cụ nha khoa là tình huống hiếm gặp nhưng rủi ro rất cao. Nếu không xử lý kịp thời,vật thể này có thể gây tắc nghẽn đường thở,viêm phổi,áp xe phổi,thậm chí suy hô hấp đe dọa tính mạng.

Dị vật là dụng cụ nha khoa kim loại sau khi được lấy ra. Ảnh: Bệnh viện cung cấp
Hàng năm,Khoa Hô hấp - Dị ứng thường tiếp nhận các ca dị vật đường thở thông thường như hạt lạc,xương cá hay mảnh thức ăn. Bác sĩ Dũng khuyến cáo các nha sĩ cần tuân thủ quy trình an toàn,sử dụng gạc chắn hoặc thiết bị bảo hộ đường thở khi làm thủ thuật. Người dân nên chọn cơ sở nha khoa uy tín; nếu xuất hiện triệu chứng ho,tức ngực hoặc cảm giác vướng sau khi làm răng cần đi khám ngay để loại trừ nguy cơ dị vật.
Thúy Quỳnh
